911 Aftershock!

400,000 tons of asbestos were released in the air in NYC!

On September 11th, 2001, attacks on the World Trade Center (WTC) cost approximately 2,500 American citizens their lives. Now, nearly a decade later, the death toll continues to climb. The reason? The high percentage of pollutants, including heavy metals and the carcinogen asbestos, which were released into the air as a result of not only the destruction of the towers, but also the cleanup effort.

The World Trade Centers were built from 1968 to 1972, at which time a mixture of asbestos and cement was used as spray-on fireproofing material. In 1971, the New York City Council banned the use of this material, as the dangers of asbestos were becoming widespread. The spraying was halted, but the towers were already coated in hundreds of tons of the asbestos fireproofing, reaching up to the 64th floor.

Asbestos is a naturally occurring silicate mineral with long, thin fibrous crystals. The word asbestos is derived from a Greek adjective meaning inextinguishable. The Greeks termed asbestos the miracle mineral because of its soft and pliant properties, as well as its ability to withstand heat.

Asbestos is toxic. The inhalation of asbestos fibers can cause serious illnesses, including malignant mesothelioma, lung cancer, and asbestosis (also called pneumoconiosis). Since the mid 1980s, many uses of asbestos have been banned in several countries.

Asbestos became increasingly popular among manufacturers and builders in the late 19th century because of its resistance to heat, electricity and chemical damage, its sound absorption and tensile strength. When asbestos is used for its resistance to fire or heat, the fibers are often mixed with cement or woven into fabric or mats. Asbestos was used in some products for its heat resistance, and in the past was used on electric oven and hotplate wiring for its electrical insulation at elevated temperature, and in buildings for its flame-retardant and insulating properties, tensile strength, flexibility, and resistance to chemicals.

--Wikipedia

When asbestos-containing materials are disturbed the fibers are released into the air, where they can lead to deadly diseases such as mesothelioma.

When the towers were destroyed by the 9/11 terrorist attacks, dust and particulate -- with a high percentage of asbestos -- blanketed several square miles of lower Manhattan. Many first responders, such as firemen and policemen, suffered immediate health problems following the attacks. These include the infamous "World Trade Center cough."

Mesothelioma is a rare form of cancer in which malignant (cancerous) cells are found in the mesothelium, a protective sac that covers most of the body's internal organs. With rare exceptions, most mesothelioma cancers are considered malignant mesothelioma.

The two major types of malignant mesothelioma are pleural mesothelioma, which concerns the mesothelium membrane that surrounds the lungs, and peritoneal mesothelioma which concerns the mesothelium layer that covers the organs in the abdominal cavity.

The prognosis, therapy (including types of chemotherapy) and treatment choices are similar whether the cancer is pleural mesothelioma or peritoneal mesothelioma.

One study estimates that 85% of first responders have some sort of respiratory ailment. Another study approximates that 110,000 people may have suffered serious exposure. Although asbestos is found in the atmosphere in small amounts, airborne asbestos levels in New York City following the WTC's collapse were 93,000 times higher than normal.

During the attacks' aftermath, when demolition took place to clean the remains, workers were further exposed. There are specific procedures which must be followed in asbestos abatement, and those precautions were not always taken in the demolition of the World Trade Centers.

Studies report that first responders and New York City residents are now dying of mesothelioma.

Mesothelioma is a very aggressive form of cancer that can have a latency period of several decades. The cancer, which is almost exclusively caused by asbestos exposure, attacks the outer lining of major organs such as the heart, abdomen, and lungs. By the time any symptoms manifest, it is often too late, since there are mesothelioma treatment options, but no cure.

Those who survived the collapse of the Twin Towers, as well as those who helped clean up Ground Zero and even residents of nearby neighborhoods, are all facing diseases related to asbestos exposure.

People diagnosed with mesothelioma are entitled to significant compensation. Trust funds have been set up to assist victims and their families. It is advised that you contact lawyers who specialize in mesothelioma cases to make sure you get all the money you are owed.

See www.asbestos.net for more information.

Viewzone || Comments?


Comments:

MESOTHELIOMA

From Wikipedia, the free encyclopedia

Mesothelioma (or, more precisely, malignant mesothelioma) is a rare form of cancer that develops from cells of the mesothelium, the protective lining that covers many of the internal organs of the body. Mesothelioma is most commonly caused by exposure to asbestos. The most common anatomical site for mesothelioma is the pleura (the outer lining of the lungs and internal chest wall), but it can also arise in the peritoneum (the lining of the abdominal cavity), the pericardium (the sac that surrounds the heart), or the tunica vaginalis (a sac that surrounds the testis).

Most people who develop mesothelioma have worked in jobs where they inhaled or ingested asbestos fibers, or were exposed to airborne asbestos dust and fibers in other ways. Washing clothes of a family member who worked with asbestos also creates a risk for developing mesothelioma. Unlike lung cancer, there seems to be no association between mesothelioma and tobacco smoking, but smoking greatly increases the risk of other asbestos-induced cancers.

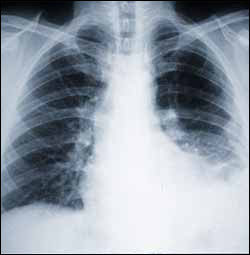
Signs and symptoms of mesothelioma include shortness of breath due to pleural effusion (fluid between the lung and the chest wall), chest wall pain, and constitutional signs such as unexplained weight loss. The diagnosis may be suspected based on chest X-ray and CT scan findings, but must be confirmed either by examining serous effusion cytology or with a biopsy (removing a sample of the suspicious tissue). A thoracoscopy (inserting a tube with a camera into the chest) can be used to acquire biopsy material, and allows the introduction of substances such as talc to obliterate the pleural space (a procedure called pleurodesis), preventing more fluid from accumulating and pressing on the lung. Despite treatment with chemotherapy, radiation therapy or sometimes surgery, mesothelioma carries a poor prognosis. Research about screening tests for the early detection of mesothelioma is ongoing.